get app
inews
Aa Text
Read Next : Ini Motif Brigjen NA Tembak 6 Kucing di Sesko TNI Bandung

Viral Kucing Ditembak Mati di Bandung Alami Luka di Kepala dan Leher, Bola Mata Hancur

Kamis, 18 Agustus 2022 - 14:24:00 WIB
Viral Kucing Ditembak Mati di Bandung Alami Luka di Kepala dan Leher, Bola Mata Hancur
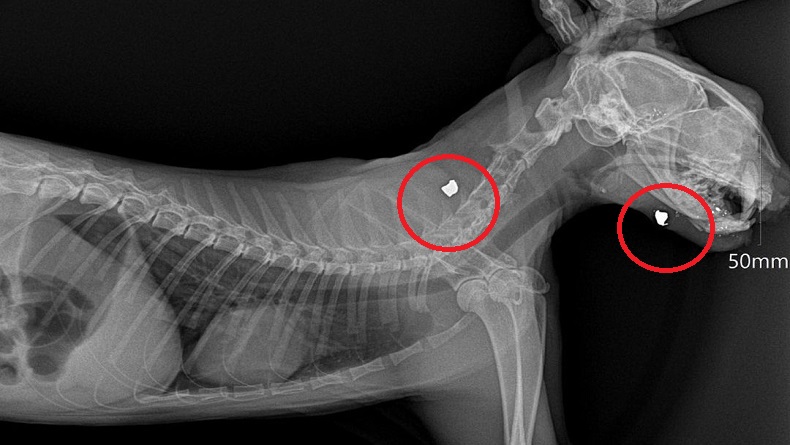
Luka tembak (lingkaran merah) ditemukan di leher dan kepala kucing yang mati di sekitar Markas Sesko TNI. (FOTO: tangkapan layar)

BANDUNG, iNews.id - Enam ekor kucing yang ditembak mati di sekitar Markas Sesko TNI Bandung, Jalan Martanegara, Kecamatan Lengkong, Kota Bandung, mengalami luka di kepala dan leher. Berdasarkan pemeriksaan X-ray, peluru bersarang di duga bagian tubuh itu. 

"Bantu share atau mention pihak terkait. Kucing-kucing ditemukan mati ditembak, lokasi di Sesko TNI Martanegara, Bandung. Ada yang tahu? Siapa pelakunya ini, kok tega banget kucing ditembak-tembak seperti ini. Kejadian sore ini tanggal 16 Agustus 2022. Satu Kucing saat ibu mau di-X-ray, untuk memastikan luka tembak dan peluru di badan kucing. Help Pak @ridwankamil bapak @jenderaltniandikaperkasa @rizky_irmansyah @nathasatwanusantara @christian_joshuapale @deasyfebry @jakartaanimalaidnetwork @femkemonita," tulis pemilik akun dalam unggahannya.

Selain banyak yang mati. Kucing juga diketahui ada yang masih bisa diselamatkan. Akan tetapi, bekas luka dari tembak ini masih ada. Akibat ditembak, kucing itu kehilangan satu bola mata dan kini dalam perawatan oleh @rumahsinggahclow.

"Tiga Kucing Kondisi Hamil, dan dua kucing masih hidup dengan bagian mata hancur, kepada siapa kami harus mengadu?," tulis @rumahsinggahclow.

Editor: Agus Warsudi

Follow Whatsapp Channel iNews untuk update berita terbaru setiap hari! Follow
Lihat Berita Lainnya

iNews.id
iNews Network
Kami membuka kesempatan bagi Anda yang ingin menjadi pebisnis media melalui program iNews.id Network. Klik lebih lanjut